Гістологія
На лабораторних щурах Вістар
Надано лабораторією кафедри патології медичного факультету Університету Рібейрау-Прету (Бразилія) - USP

Надано лабораторією кафедри патології медичного факультету Університету Рібейрау-Прету (Бразилія) - USP

Кількість, N= 29 лабораторних щурів Вістер
Вага : 421 г
Походження тварин : Biotério Central of Campus of Ribeirão Preto of São Paulo University
Підтримка : Experimental Pathology Lab of Pathology Department on Medicine School of Ribeirão Preto – USP
Утримання тварин : поліпропіленові бокси
Їжа тварин : базова лабораторна дієта та вода
Показники освітлення : природні світло/темрява цикли при контрольованих основних умовах
Еспериментатори : A.Tenenbaum,R.Mené,Kim

Мишей евтаназували в CO2-камерах.
-гематоксилін-еозин
-Трихромія Массона
-і червоний пікро-сіріус.

Миші з боксів 2-5 отримували 0,1 мл основного продукту Endopeels Original на той самий м'яз, що й контрольна група.
У боксі 6 було 4 щури, кожному з яких підшкірно вводили по 0,5 мл основного продукту Endopeels.
All the animals were submitted to walking evaluation before and after their respective injections.


Коментар: Нічого декларувати після введення фізіологічного розчину

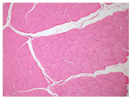
Л: Претибіальний м'яз - без лікування

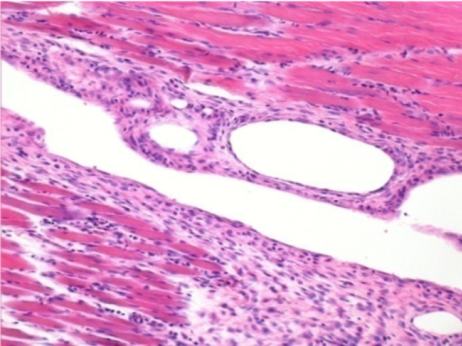
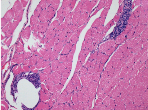
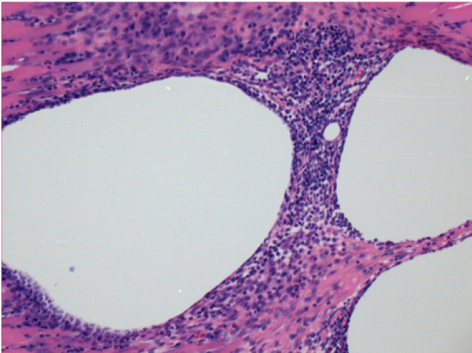
Через 10 днів після ін'єкції Ендопіл 0,1 мл в правий претибіальний м'яз.
Тут можна побачити утворення вакуолей, які оточені лімфоцитами. Вакуолі відрізняються від некрозу тканини. Присутність лімфоцитів пов'язана з проникністю клітинних мембран.




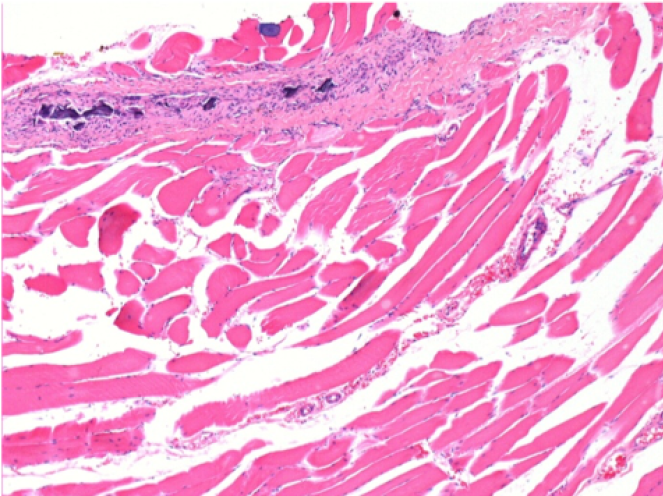
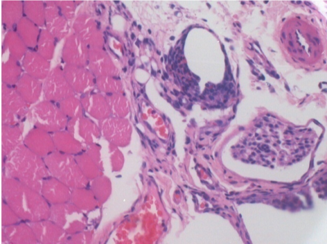
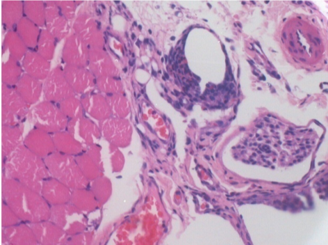
Через 1 місяць після ін'єкції Ендопілу 0,1 мл у правий претибіальний м'яз.
Те, що видно на знімках чорним кольором, не є некрозом, як можуть собі уявити деякі науковці!
Насправді, слід взяти до уваги 4 висновки



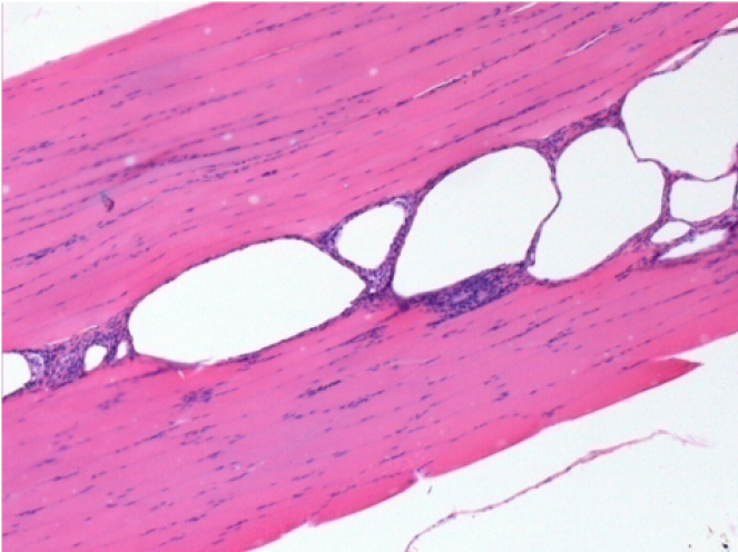
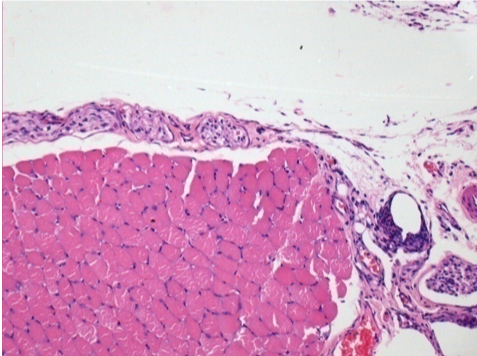
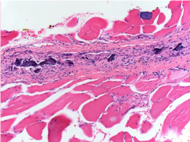
Через 3 місяці (90 днів) після ін'єкції Ендопіл 0,1 мл в правий претибіальний м'яз.


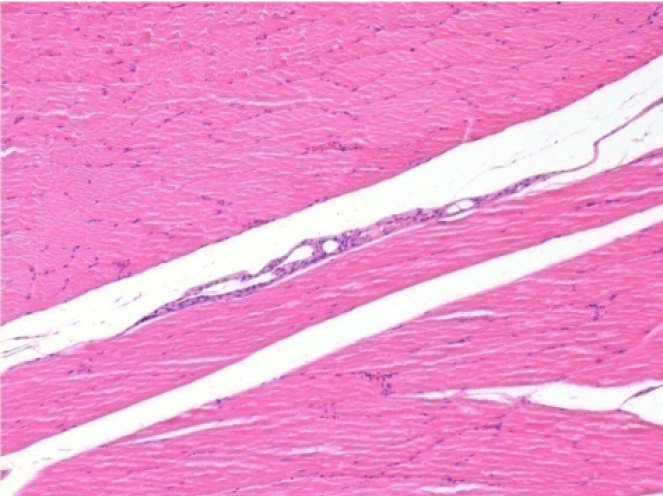
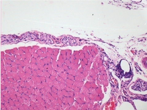
7 місяців (210 днів) після ін'єкції 0,1 мл Ендопіл в правий претибіальний м'яз.
Повна Restitutio ad integrum через 7 місяців



Л :Контроль 50x210 днів

П:50X-210 днів
0,5 мл (5x 0,1 мл) підшкірна ін'єкція Ендопіл в праву підшкірну претибіальну ділянку.

Л:200x-Контроль-ПШ

П-10днів-ПШ-200X

П-30днів-ПШ-200X

П-90днів-ПШ-200X

П-210днів-ПШ-200X

П-210днів-ПШ-400X
