Механізми Дії

Резюме Механізму Дії



Протеїнова коагуляція гіпотонічних підшкірних тканин
Легенда
-
якщо ви введете основний продукт Ендопіл в яєчний білок, як у пробірці навпроти, ви негайно отримаєте білкову коагуляцію завдяки денатуруючій дії на білки, яку чинить Ендопіл.
-
Те ж саме відбувається з целюлітом, якщо ви вводите Endopeel в підшкірну клітковину з ліфтинговим ефектом, ефектом редрапінгу, підтягуванням і зменшенням окружності стегна.
Висновки :
Ендопіл дуже ефективний при целюліті, а також для лікування апельсинової шкіри. Ендопіл підтягує підшкірну клітковину, яка здається "випрасуваною".
Послідовне лікування фібросклерозу після ендопілінгу визначає естетичне та функціональне покращення гіпотонічних тканин.


Експресія Синаптофізину та білка S100
Це свідчить про те, що Ендопіл має зовсім інший механізм дії на рухову пластинку на відміну від ботулотоксину.

Швидкість провідності в міофібрі литкового м'яза лабораторного щура
Легенда
Це дослідження було реалізовано корейськими нейрофізіологами з Пусана (Південна Корея)
-
Контроль з NaCl 0,9% 1 мл
Середнє значення +-S.D (м/с) p значення <0.05 : Відсутня Зміна швидкості провідності - Швидкість провідності знижується до 5-го дня після ін'єкції Ендопіл і буде повільно зростати протягом 1 місяця, щоб повернутися до норми.
Висновки:
ЕНДОПІЛ призводить до restitutio ad integrum (відновлення цілісності)
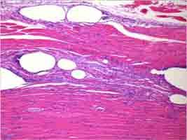
Склерозуючий Вплив на Судини
Ендопілінг має склерозуючий ефект.
Ендопілінг зменшує провисання, посилюючи тонус м'язів. Крім того, розтягуючи шкіру, поверх м'язів, він може забезпечити усунення зморшок і є дуже цікавим для лікування темних кіл під нижньою повікою.

